ホワイトニングで綺麗な白い歯を
手に入れよう!
ホワイトニングとは専用の薬剤を使用して歯の漂白して白くする治療方法です。
歯の黄ばみなどの歯の色に対してコンプレックスを持っている方は少なくありません。ホワイトニングは歯を削ってセラミックの被せ物をしなくても、ご自身の天然歯の色を薬剤を使用して白くする治療法なので、歯を削ることなく白い歯を手に入れることができます。
ホワイトニングの種類
ホワイトニングには歯科医院で行うオフィスホワイトニングとご自宅で行うホームホワイトニングがあります。
それぞれ特性がありますので、ライフスタイルにあわせたホワイトニングをすることをおススメします。
オフィスホワイトニング
時間
1回の来院で1時間程度です。
効果
急激に色が変化があるため、持続性はホームホワイトニングよりやや劣ります。
ホームホワイトニング
時間
1日2時間程度、約4週間程ほど行なう。
効果
徐々に色が変わるため、効果は長い間持続しやすい。
カスタムトレイが不要な
ホームホワイトニング
オパールエッセンスGo
オパールエッセンスGoはカスタムトレイ作製不要という簡便さを実現させたホームホワイトニングシステムです。
既成トレイにホワイトニングジェルが充填された新しいタイプのホームホワイトニング材で、口腔内の体温によって歯列に合わせ形が変形するウルトラフィットトレイは使用後のお手入れ不要で単回使用のため場所を選ばず、好きなときにホワイトニングを行うことができます。
オパールエッセンスGoってどんなもの?
アメリカのウルトラデント社が開発した歯科医院のみが処方できるホワイトニング材です。
オパールエッセンスGoの特徴
- 漂白効果がある過酸化水素を6%配合
- トレイは使い捨てでお手入れ不要
- 歯型を取る必要もありません
- 体温によってトレイが歯列にフィット
- あらかじめホワイトニングジェルが充填されています
- 使用時間 1日90分(連続10日間使用可能)
- オフィスホワイトニングとの併用で相乗効果
オパールエッセンスGoの
費用・価格(税別)
| 治療費 | |
|---|---|
| オパールエッセンスGo 1箱 | ¥16,000 |
当院のオフィスホワイトニング
オパールエッセンスBOOST
当院のオフィスホワイトニングは光照射不要の「オパールエッセンス Boost 35%」を使用しています。
粘度の高い薬品は歯にしっかり止まり、ムラなく美しい白さを実現してくる点が特徴です。
オフィスホワイトニングの特徴
- 通常のオフィスホワイトニングと比べてムラが出にくい。
- ホームホワイトニングに比べて効果を感じるのが早い。
- ホームホワイトニングに比べて薬剤の濃度が高いので歯がしみることがある。
- 後戻りが早いので、1回のみだと再着色する可能性が高いので、当院では3回セットです。
オフィスホワイトニングの
費用・価格(税別)
| 治療費 | |
|---|---|
| オフィスホワイトニング | ¥30,000 (内訳) 初回¥13,000 2回目¥8,500 3回目¥8,500 |
当院のホームホワイトニング
オパールエッセンス
当院のホームホワイトニングは、ご自身専用のマウスピース(カスタムトレイ)を作成してもらい、ご自宅でホワイトニング材をトレイに入れてホワイトニングを行う方法です。
当院のホームホワイトニングはオパールエッセンスを使用しています。
ホームホワイトニングの特徴
- 自然な仕上がりになりやすい
- 後戻りが少ない。
- 刺激がオフィスホワイトニングに比べて少ない。
- 効果が出るまで時間がかかる場合がある。
ホームホワイトニングの
費用・価格(税別)
| 治療費 | |
|---|---|
| ホームホワイトニング (片顎) | ¥17,000 |
| ホームホワイトニング (上下) | ¥34,000 |
当院のホワイトニング
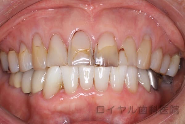
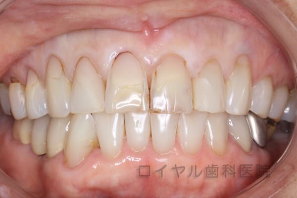
CASE1
ホームホワイトニング
-

歯の色のが気になる。まずは下から処置です。
かなり白くなりました。 -

上も処置後です。詰め物残ったままですが、
結果に満足していただきました。
-
- 主訴
- 歯の色が気になる
-
- 治療内容
- ホームホワイトニング
-
- 治療費用
- ¥34,000
歯の色のが気になるという主訴で来院。まずは下から処置です。ホワイトニングでかなり白くなりました。その後上もホワイトニングをしました。詰め物残ったままですが、結果に満足していただきました。
【リスク・副作用】
歯の色の変化には個人差がある場合があります。また歯がしみたり、後戻りはする場合があります。
ホワイトニングの一般的なリスク・副作用
- ホワイトニングは保険適用外の治療です。
- ホワイトニングよる歯の色の変化には個人差がある場合があります。
- ホワイトニングで歯がしみる場合があります。
- ホワイトニングは後戻りはするので気になる場合は定期的に受けることをおススメします。
- ホームホワイトニングに比べオフィスホワイトニングは後戻りが早い。