歯周病治療について

現在、日本人の成人70%以上が歯周病だと言われていますが歯肉はどうでしょう?。歯周病は「歯の周りの病気」です。
歯を支える歯肉や骨がじわじわと破壊される歯周病は「静かなる病気」といわれ、気が付いたときにはかなり進行しているケースが多いです。
例えば、目から血がでても放っておく人はいないと思います。歯も大事な身体の一部です。早期に発見、治療をすることが大事です。
歯周病になるとどうなるの?
いずれかに当てはまれば、歯周病の可能性があります。
| 歯周病チェック |
|
|---|
歯周病を予防するには?
歯周病は正しいブラッシングと生活習慣、定期健診を受けることで予防できます。
歯周病になってしまった場合は?
ブラッシング指導、歯石除去(スケーリング)、ルートプレーニング(スケーリングでは取りきれない歯の奥深くにある歯石をとる方法)、咬み合せ調整固定などの初期治療を行い、歯周病を落ちつかせます。その後必要であれば根本的な治療に移ります。
歯周病が全身に影響するって本当?
放置のリスク

歯周病は、歯周病菌がつくり出す毒素などが原因で歯ぐきに炎症が起こる病気です。
進行すると、歯ぐきの内側にある歯根膜や歯槽骨といった歯を支える組織まで傷つき、放置すると最終的に歯を失うこともあります。
また、近年の研究では、歯肉のダメージ箇所から細菌や炎症物質が体内へ侵入し、全身疾患を引き起こすリスクも指摘されています。当院では、単にお口のトラブルを解決するだけでなく、全身の健康管理という視点から、質の高い歯周病治療とメインテナンスを提供しております。
歯周病が影響する全身疾患
メタボリックシンドローム
- 歯周ポケット内の細菌が作る内毒素、肝臓でのエネルギー消費を邪魔して肥満の原因になります。また、歯周病が糖尿病を悪化させる原因にもなります。
脳血管疾患・心臓疾患
- 歯周ポケット内の細菌が血管内に入り動脈硬化が起き、脳梗塞や心筋梗塞の原因となります。
妊娠トラブル
- 歯周病菌によって早産や未熟児出産などの原因となる可能性があります。
誤嚥性肺炎
- 口の中の細菌が唾液や胃液と共に気管支や肺に入り込み、肺炎を引き起こします。
ピロリ菌感染胃疾患
- 歯周病はピロリ菌感染による胃潰瘍の引き金になり、増悪させる原因になると考えられます。
骨粗しょう症
- 歯周ポケット内の細菌は、歯を支える骨を溶かすだけでなく、血液に入り込んで全身の骨をボロボロにしてしまいます。
関節炎・腎炎
- 歯の周りから入り込んだ毒性物質が腎炎や関節炎になってしまうこともあります。
皮膚疾患
- 口の中の細菌が作るたんぱく質が皮膚炎を引き起こすことが分かってきました。
歯周病の進行段階と治療法
軽度歯周炎 危険度★★
軽度の歯周炎は歯茎が少し赤みを帯び腫れた状態になります。
軽度歯周炎の場合の目安は歯周ポケットが3~4mm程度と言われています。
この段階での治療法は、プラークや歯垢をスケーリングなどで取り除き、正しいブラッシングを毎日することです。
中度歯周炎 危険度★★★
中程度の歯周炎になると、口臭がおこり、歯茎が化膿します。ブラッシングをした際に膿がでることもあります。
歯周ポケットは4~5mm程度です。
この段階での治療法はスケーリングなどを使用して治療をしますが、歯周ポケットが5
mm以上深くなるとフラップ手術をする場合があります。フラップ手術は局所麻酔後、歯茎を切開し、隠れているプラークや歯石を取り除き、歯周病の進行を止める手術を行うことがあります。
重度歯周炎 危険度★★★★★
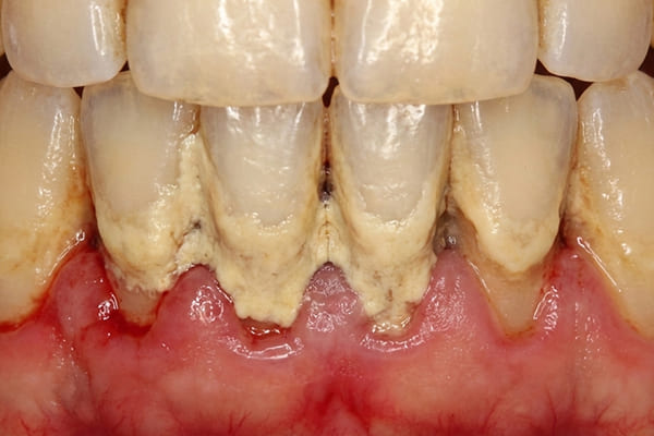
重度の歯周炎になると、歯がグラグラして、歯と接している歯茎がさらに腫れ、化膿が進みます。歯と歯の間が広がり、歯茎が下がって、歯が長く見えます。
この段階の治療法は再生療法を用いて歯周組織の再生をはかることが多いです。しかし、ここまで進行すると抜歯になる可能性が高くなります。




