インプラント治療について

歯科用インプラントとは失った歯の代用となる人工歯根のことです。
骨にインプラント体を埋め込みその上に上部構造体を固定する治療です。
骨の状態、全身の状態によりますが、最良の治療になる可能性があります。

周りの歯を大きく削る必要がなく、しっかり固定され、安定して外れる事がなく、周りの歯にかかる嚙み合わせの負担も少ない歯の再生法です。
当院では安心の国産性インプラント「京セラ」のインプラントシステムを使用しています。
他の治療との比較
歯を失った場合に機能や見た目を回復する為の方法としてブリッジ、入れ歯、インプラントの3つの治療の選択肢があります。
これらの治療法には利点もあれば欠点もあります。ここではこれら3つの治療法について比較紹介します。
| インプラント | ブリッジ | 入れ歯 | |
|---|---|---|---|
![]() |
![]() |
![]() |
|
| 利点 |
|
|
|
| 欠点 |
|
|
|
こんな場合にインプラントを
おススメします
Case1
奥の歯が抜けたため、ブリッジができない。
Case2
ブリッジにするために、健康な歯を削りたくない。
Case3
抜けている歯の数が多く、ブリッジでは支えきれない。
Case4
入れ歯にしたくない、不快感がある。
Case5
事故などの外傷で歯を喪失した。
当院のインプラント治療
CASE1
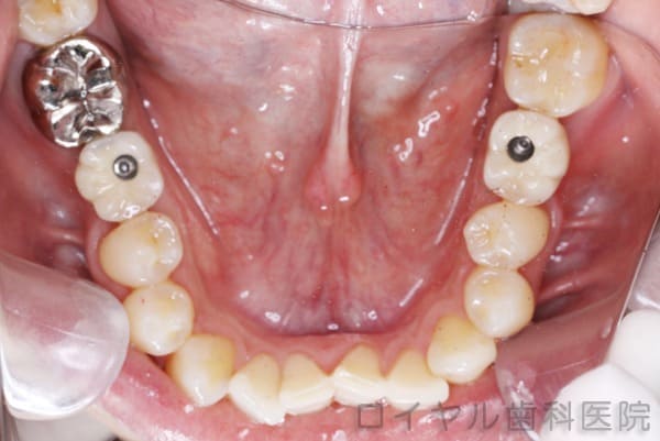
下顎左臼歯部のインプラント治療
-
インプラントを埋入して3ヵ月経過。
歯肉の状態は良好です。 -
2年経過後です。
歯肉の状態も落ち着いています。
-
- 主訴
- 奥歯で噛めない
-
- 治療期間
- 3ヶ月
-
- 治療内容
- インプラント治療
下顎左5、6、7番にインプラントを埋入したケース。2年経過後でも歯肉の状態も落ち着いています。
【リスク・副作用】
お手入れが悪いと歯肉が腫れる場合があります。
CASE2
下顎右6番、左6番のインプラント治療
術中
-
インプラントを埋入3ヵ月経過しています。
-
歯肉も健康で調和が取れています。
模型作成
-
被せ物はこういう形でできあがってきます。
-
被せ物はこういう形でできあがってきます。
術後
-
装着直後です。
-
上の穴を白い樹脂で埋めて完了です。
-
- 主訴
- 重度のむし歯で歯が残せない
-
- 治療内容
- 下顎右6番、左6番のインプラント治療
下顎右6番、左6番にインプラントを埋入したケースです。
【リスク・副作用】
お手入れが悪いと歯肉が腫れる場合があります。
CASE3
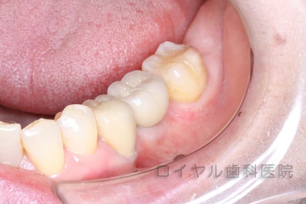
下顎左6番のインプラント治療
-
インプラントを埋入して3ヵ月経過してます。
-
歯茎の色と形が理想的です。
-
- 主訴
- 重度のむし歯で歯が残せない
-
- 治療期間
- 3ヶ月
-
- 治療内容
- 下顎左6番のインプラント治療
下顎左6番にインプラントを埋入したケースです。歯肉の色と形が理想的です。
【リスク・副作用】
お手入れが悪いと歯肉が腫れる場合があります。
インプラント治療のメリット
-
- Merit 1
- 隣在する歯を削る必要がなく、健康な歯を傷つけない。
-
- Merit 2
- 入れ歯のような不快感がない。
-
- Merit 3
- 見た目が自然で美しい。
-
- Merit 4
- 自身の天然歯のような咬み心地を味わえる。
-
- Merit 5
- 固定式なのでご自身の歯と同じ様に歯ブラシやフロスでメンテナンスができる。
インプラント治療のデメリット
- 保険適応外なので費用が高い。
- 外科手術をする必要がある。
- しっかりメンテナンスをしないと治療期間が長くなる(3ヶ月~1年)、歯周病の症状がでる場合がある(腫れ、出血、、ゆれ)
- 患者様の身体の状態(重度な糖尿病など)よって治療できないことがある。


